Search result:
1,615 results for query: "VIR"
Coronavirus patient in New York treated with vitamin C
15:51 | 25/03/2020
Seriously sick coronavirus patients in New York state’s largest hospital system are being given massive doses of vitamin C — based on promising reports that it’s helped people in hard-hit China, The Post has learned.
Environmentally friendly products are more favored to use by Vietnamese businesses
15:18 | 25/03/2020
Vietnamese retailers and eateries are cutting off plastic products and increasing environmentally friendly products to save the environment.
North-South twin train suspended over coronavirus fears
15:11 | 25/03/2020
Hanoi Railway Transport Jsc has confirmed to suspend departure of twin train Thong Nhat SE9/SE10 from both Hanoi and Ho Chi Minh Railway station as of March 26, in a bid to contain the COVID-19 pandemic.
Cleaner hands, clearer water, bluer skies: What has coronavirus done for us?
15:02 | 25/03/2020
Deaths, economic meltdown and a planet on lockdown: the coronavirus pandemic has brought us waves of bad news, but squint and you might just see a few bright spots.
Vienam Covid-19: More urgent calling on passengers on seven international flights
13:55 | 25/03/2020
The Ministry of Health on March 25 morning has released another urgent announcement calling on passengers on seven international flights to immediately contact local Centers for Disease Control to have their health monitored.
Support for almost 100 Vietnamese citizens stuck at Thailand, Singapore airports
13:52 | 25/03/2020
About 100 Vietnamese citizens, who had been stranded while making a transit in international airports of Thailand and Singapore due to these countries’ COVID-19-related movement control orders, were supported to come back home on March 24.
Harvard's president and his wife test positive for coronavirus
11:33 | 25/03/2020
President Lawrence Bacow confirmed in a letter to students and faculty he and his wife, Adele Fleet Bacow, have contracted the novel coronavirus after nearly 10 days working from home and limiting contact with others.
World’s leaders ask their citizens to stay home amid Covid-19 threat surges
11:19 | 25/03/2020
With the uncertainties and complicated situation of Covid-19 and several people against the strict lockdown announced by governments, some world’s leaders have urgently asked their citizens to “stay at home” and avoid unnecessary outdoor movement to contain the pandemic.
Samsung, LG to send engineers to Vienam upon government permission
08:53 | 25/03/2020
Affiliates of Samsung Electronics and LG Electronics will send a total of 430 engineers to Vietnam in order to support their plants’ operations there, as the Vietnamese government has decided to exempt Korean staff from its two-week quarantine policy, according to industry sources Tuesday.
COVID-19 cases are ‘most infectious’ in first 7 days after developing symptoms
22:46 | 24/03/2020
Health experts have “learnt quite a lot” about the coronavirus including when patients are the most infectious.
"Coronavirus infections could surge in autumn", Korean expert warns
22:41 | 24/03/2020
There could be a surge of coronavirus infections in autumn, according to the forecast Monday (Mar 23) of Oh Myung-don, a renowned infectious diseases physician at Seoul National University Hospital, citing patterns of virus spread observed with the 1918 Spanish flu.
HCM City’s entertainment areas, restaurants closed to curb COVID-19 outbreak
22:40 | 24/03/2020
All entertainment areas and restaurants with more than 30 seats in Ho Chi Minh City, must close until Mar 31 to help curb the spread of the coronavirus, the city's authorities said on Tuesday (Mar 24).
Postpone Tokyo Olympics, to hold next year
20:02 | 24/03/2020
Prime Minister Shinzo Abe and International Olympic Committee President Thomas Bach agreed Tuesday to postpone this summer's Tokyo Olympics due to the coronavirus pandemic, the Japanese leader said.
7 ways to clean and disinfect in families to prevent COVID-19
14:07 | 24/03/2020
The Department of Environmental Management, Ministry of Health, suggests 7 ways to clean and disinfect in families to prevent COVID-19.
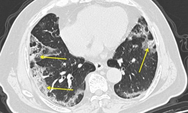
Coronavirus: what happens to people's lungs if they get Covid-19?
10:38 | 24/03/2020
Respiratory physician John Wilson explains the range of Covid-19 impacts, from no symptoms to severe illness featuring pneumonia.
Most read
Ho Chi Minh City, Yamaguchi Enhance People-to-People Exchanges and Coordinate Training for Elected Representatives
07:09 | 02/03/2026
Application of Population Data and VNeID Enhances Efficiency of Election Organization
07:05 | 02/03/2026